Our site needs your support to continue it's operation and API

PayPal

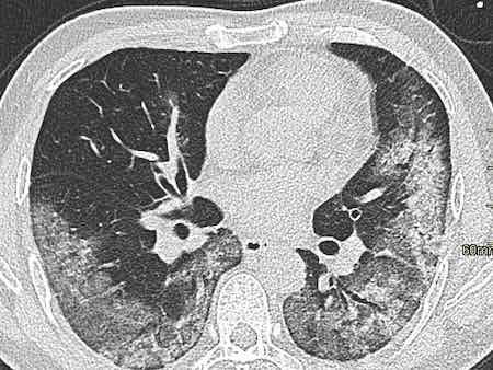
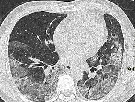
Covid CT Pattern

These are the latest Covid CT Pattern images from around the world.

You can use CC-licensed images as long as you follow the license conditions attribution CC BY 4.0.

Related Galleries


Wiki - by TheVirusTracker - TheVirusTracker Facebook - Build a Tracker - Privacy Policy - Terms of Service
top